Сергей обратился в редакцию тульских ВЕСТЕЙ с открытым письмом, в котором рассказал о том, как стал жертвой нападения двух собак породы алабай. Псы в очередной раз сбежали с участка на улице Лиственной и ворвались во двор его частного дома.По словам...
Общество
Администрация не обеспечила нормальное состояние дорог на Транспортной, Кукунина, Калинина, Школьной, Малой Рабочей, Трудовые резервы, Куйбышева, Октябрьской, Дзержинского, Березовой, Маяковского, Московской, Первомайской, Шахтеров и...
24-25 марта в г. Тула состоялась ежегодная региональная конференция и выставка «ИТС регионам», посвященная внедрению и развитию интеллектуальных транспортных систем в субъектах Российской Федерации, а также развитию цифровых технологий на транспорте и...
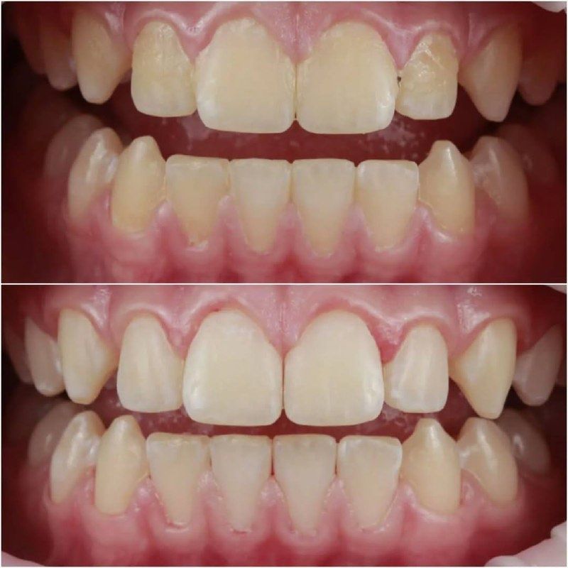
Мягкий зубной налет — это не просто эстетическая проблема, а серьезный вызов для здоровья полости рта. В отличие от зубного камня, который явно виден, мягкий налет может оставаться незамеченным. Однако это не делает его менее опасным.Что...
С 09:00 до 11:30 в школах областного центра проводятся всероссийские учения для персонала и учеников.Из-за этого перенесены запланированные на сегодня Всероссийские проверочные работы.ТСН24 | Прислать Новость |...
С 20 по 22 апреля в Москве проходит III Всероссийский муниципальный форум «МАЛАЯ РОДИНА – СИЛА РОССИИ».В рамках панельной дискуссии «Интеграция СВОих героев в мирную жизнь» Глава города Тулы, руководитель фракции «Единая Россия» Алексей Эрк представил...
В каждом доме время от времени возникают запахи, которые могут оставить неприятное впечатление. Но не стоит паниковать! Вот несколько проверенных способов, как избавиться от нежелательных ароматов и наполнить свое...
Мужчина поставил на учёт в своём доме в посёлке Малахово Заокского района двух граждан Киргизии и семерых узбеков, но жильё им не предоставил, сообщает пресс-служба объединённой судебной системы региона.Суд признал его виновным и...
Как сообщили в ведомстве, официальной информации о поставках продукции HiPP в РФ не поступало — ни от европейских органов, ни через системы быстрого оповещения. Компания «Хипп Русь» подтвердила, что опасное овощное пюре «Морковь-картофель» не ввозится...
Перекись водорода, известная всем как первое средство для обработки ран, раскрывает свои удивительные свойства и в домашних условиях. Этот простой и доступный антисептик оказывается настоящей находкой для дезинфекции губок и тряпок на кухне. Что...
Погода на 21 апреля Время рассвета: 05:14.Время заката: 19:41.Световой день: 14 ч. 27 мин.Температура воздуха: +5°С (днем), +1°C (ночью).Облачно, местами возможен дождь.Геомагнитная обстановка: спокойная.ТСН24 | Прислать Новость | Мы в МАХ
Сало — это продукт, который вызывает разнополярные мнения среди любителей вкусной пищи. Некоторые наслаждаются им, в то время как другие с недоумением ставят под сомнение возможность употребления столь жирного продукта. Это формирует...
Шарлотка — это классический десерт, который дарит момент радости и уюта в любое время. А если добавить в этот рецепт груши, то результат превзойдет все ожидания. Приготовление этого пирога не займет больше часа, а его воздушная текстура и нежный...
Кексы в микроволновке, известные как "кексы в кружке", представляют собой идеальный способ быстро насладиться сладостью за чаем или кофе. Процесс приготовления этого десерта займет всего минуту для замеса теста и 2-3 минуты на выпечку. Время может...
Ищете идею для сытного и простого завтрака? Запеканка из фарша с грибами, приготовленная в мультиварке, станет отличным решением! Это блюдо не только вкусное, но и полезное, поскольку в нем сладкое сочетание куриного фарша и свежих грибов. Кроме того...
Заготовка на зиму, которая однозначно станет звездой любой зимней трапезы – салат с кабачком. Он не только легок в приготовлении, но и обладает ярким вкусом, способным удивить даже самых притязательных гурманов. Такой салат непременно должен...
Или все-таки есть, если это снег в конце апреля?Вы как думаете? Каждая погода – благодать!Снег в апреле – это ужасно Подписывайтесь на наш канал в MAX
Такое заявление сделал Сергей Миронов в беседе с «Газетой.Ru», отметив, что тарифы на интернет «неприлично высокие»:«Повышаются они постоянно, и сотовые операторы не дают этому никаких вразумительных объяснений. Делают что хотят, а...
Лента новостей
- Минтранс, Госдума и МВД не поддержали идею снизить нештрафуемый порог превышения скорости на дорогах ТСН24 | Прислать Новость | Мы в МАХ// ТСН24 — Новости Тулы






































