
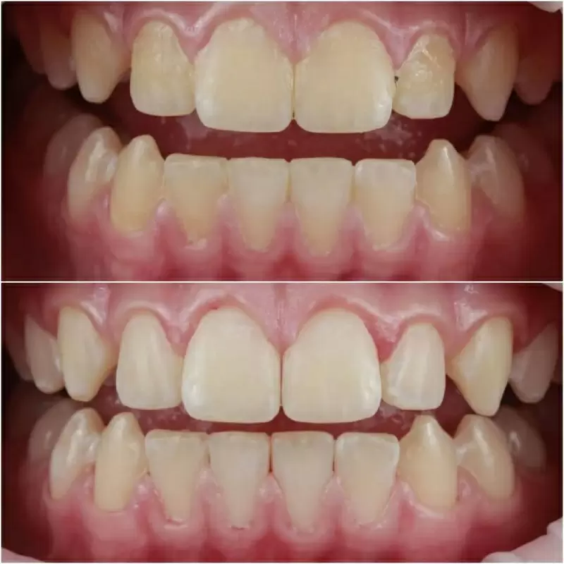
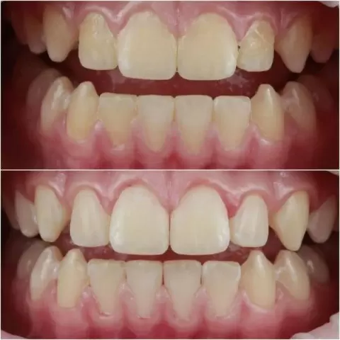
Мягкий зубной налет — это не просто эстетическая проблема, а серьезный вызов для здоровья полости рта. В отличие от зубного камня, который явно виден, мягкий налет может оставаться незамеченным. Однако это не делает его менее опасным.
Что скрывается в налете?
Внутри мягкого налета прячется множество патогенных микроорганизмов, способных навредить зубной эмали. Эти микробы производят кислоты, которые постепенно начинают разъедать эмаль, вызывая деминерализацию и обеспечивая почву для кариеса.
Почему важно следить за гигиеной?
Регулярная гигиена полости рта — ключ к предотвращению таких проблем. Простой набор действий может значительно снизить риск:
- Чистка зубов дважды в день, используя качественную зубную пасту;
- Применение зубной нити для удаления остатков пищи и налета между зубами;
- Использование специальных ополаскивателей, чтобы дополнительно очистить полость рта.
Консультация у специалиста
Обращение к стоматологу-гигиенисту также жизненно необходимо. Профессиональная чистка зубов и индивидуально подобранные рекомендации по уходу помогут поддерживать здоровье вашей улыбки на должном уровне.
Специалисты могут предложить подходящую продукцию и методы ухода, учитывая индивидуальные особенности зубного ряда. Не стоит недооценивать значение регулярного контроля за состоянием своих зубов. Улыбка — это не только вопрос внешности, но и важный аспект общего здоровья.




























